چسب روکش ایمپلنت چیست
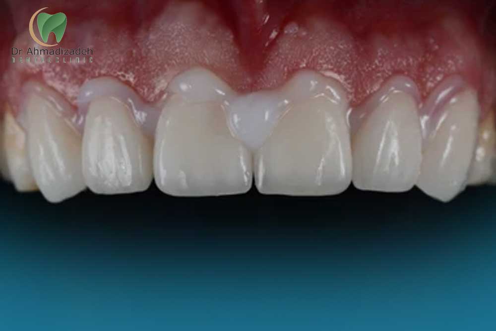
چسب روکش ایمپلنت یکی از مهمترین مواد دندانپزشکی در مرحله نهایی درمان ایمپلنت است و نقش آن، ثابت نگه داشتن روکش روی اباتمنت (پایه ایمپلنت) میباشد. انتخاب نوع چسب و نحوه استفاده از آن تاثیر مستقیم بر زیبایی، دوام و سلامت لثه دارد.
در این مقاله، که با همکاری دکتر هاشم احمدیاده در کلینیک دکتر احمدیزاده تدوین شده، همه نکات مهم درباره انواع چسبها، مزایا، عوارض احتمالی، علت افتادن روکش و نحوه پیشگیری ارائه میشود.
چرا چسب روکش ایمپلنت اهمیت دارد؟
در درمان ایمپلنت، اتصال روکش به دو روش انجام میشود
- روکش پیچشونده
- روکش چسبشونده
در بسیاری از بیماران، روش چسبشونده انتخاب میشود؛ زیرا ظاهر یکدستتر، زیبایی بیشتر و امکان اصلاح روکش را فراهم میکند.
اما همین مزیتها در صورتی مؤثرند که نصب کاملاً اصولی و با چسب استاندارد انجام شود؛ در غیر این صورت، احتمال التهاب لثه، باقی ماندن چسب و حتی شکست ایمپلنت وجود دارد.
مشاوره رایگان ایمپلنت
انواع چسب روکش ایمپلنت
استفاده از چسب مناسب به جنس روکش، شرایط دهان و لثه، و نوع ترمیم بستگی دارد. رایجترین انواع چسب عبارتاند از:
چسبهای رزینی (Resin Cement)
- مناسب برای روکشهای سرامیکی و کامپوزیتی
- بسیار مقاوم و بادوام
- کاربرد دائمی یا موقت
مزایا
- استحکام بالا
- ظاهر بسیار طبیعی
- مقاومت زیاد در برابر سایش
معایب
- احتمال حساسیت
- قیمت بالاتر
| مطالعه بیشتر : قیمت ایمپلنت |
چسبهای گلاس آینومر (GI Cement)
- مناسب برای اتصال دائمی روکشهای فلزی و سرامیکی
مزایا
- اتصال قوی
- آزادسازی فلوراید و محافظت از دندان
معایب
- ظرافت ظاهری کمتر نسبت به رزینی
چسبهای زینک فسفات
- از قدیمیترین و مقاومترین چسبها
مزایا
- قیمت مناسب
- مقاومت قابل قبول
معایب
- احتمال حساسیت
- زیبایی کمتر
چسبهای سیلیکونی (موقت)
- برای روکشهای موقت ایمپلنت
مزایا
- قابلیت برداشتن آسان
- مناسب برای دورههای درمانی کوتاه
معایب
- استحکام پایین
- فقط برای استفاده موقت
تفاوت چسب موقت و دائمی روکش ایمپلنت
چسب موقت
- امکان بررسی وضعیت لثه و روکش قبل از اتصال اصلی
- جدا شدن راحت
- مناسب مراحل اولیه درمان
چسب دائمی
- استحکام بسیار بالا
- ظاهر طبیعی و ماندگاری طولانی
- جدا کردن دشوار
مزایای اتصال روکش با چسب نسبت به روش پیچشونده
در کلینیک دکتر احمدیزاده، بسیاری از بیماران روش چسبی را انتخاب میکنند؛ زیرا:
- سطح روکش کاملاً یکدست است و حفره پیچ دیده نمیشود
- زیبایی لبخند بیشتر است
- روکش قابل اصلاح و ترمیم میباشد
- مقاومت روکش در جویدن و دندانقروچه بالا است
شرط مهم، ارتفاع مناسب اباتمنت و طراحی اصولی آن است تا چسب بهخوبی عمل کند.
عوارض احتمالی چسب روکش ایمپلنت (در صورت اجرای نادرست)
چسب بهخودیخود خطرناک نیست؛ اما اجرای غیر اصولی میتواند باعث مشکلات زیر شود:
باقی ماندن چسب اضافی
- التهاب لثه
- تجمع پلاک
- تحلیل بافت نرم یا استخوان مجاور ایمپلنت
افزایش خطر شکست ایمپلنت در بلندمدت
چسب اضافه، محیط مناسبی برای رشد باکتریها ایجاد میکند و میتواند باعث آسیب به استخوان اطراف ایمپلنت شود.
لق شدن یا افتادن روکش
اگر چسب کیفیت مناسب نداشته باشد یا مقدار کمی استفاده شود، اتصال ضعیف خواهد بود.
چرا روکش ایمپلنت میافتد؟
شایعترین دلایل عبارتاند از:
- کاهش قدرت چسب
- شل شدن پیچ اباتمنت
- ضربه یا جویدن مواد بسیار سفت
- التهاب لثه یا عفونت
- باقی ماندن چسب اضافی در ناحیه اتصال
نشانهها:
- لق شدن روکش دندان
- درد یا حساسیت هنگام جویدن
- دیده شدن لبه فلزی ایمپلنت
چگونه از شکست ایمپلنت به دلیل چسب جلوگیری کنیم؟
دکتر هاشم احمدیاده تأکید میکند:
- نصب روکش باید با بزرگنمایی کلینیکی انجام شود
- چسب اضافی باید کاملاً پاک شود
- تصویربرداری پس از نصب میتواند وجود چسب باقیمانده را مشخص کند
- در صورت نیاز، از اباتمنت سفارشی استفاده میشود تا تمیزکاری راحتتر و دقیقتر انجام شود
اگر چسب روکش مشکل ایجاد کرد چه باید کرد؟
تنها راهکار درست:
مراجعه سریع به دندانپزشک متخصص ایمپلنت
دندانپزشک:
- چسب اضافی را برمیدارد
- بافت ملتهب را درمان میکند
- محل اتصال را ضدعفونی میکند
- در صورت نیاز، جراحی اصلاحی انجام میدهد
آیا میتوان در خانه از چسب روکش استفاده کرد؟
استفاده از چسب خانگی یا داروخانهای کاملاً خطرناک است.
این کار باعث:
- آسیب لثه
- قفل شدن روکش
- ایجاد عفونت
- امکان شکست ایمپلنت
میشود.
اگر روکش افتاد، فقط باید در کلینیک و توسط متخصص نصب شود.
نتیجهگیری
چسب روکش ایمپلنت یکی از عوامل کلیدی در موفقیت درمان ایمپلنت است. انتخاب نوع چسب، مهارت دندانپزشک، طراحی اباتمنت و کنترل دقیق چسب اضافی همگی در دوام ایمپلنت نقش دارند.
برای جلوگیری از مشکلات طولانیمدت، توصیه میشود نصب روکش و پیگیریهای درمانی در مرکزی معتبر مانند کلینیک دکتر احمدیزاده و زیر نظر دکتر هاشم احمدیاده انجام شود.
| برای دیدن نمونه کارها به پیج اینستاگرام ما سر بزنید. |
سؤالات متداول درباره چسب روکش ایمپلنت
چسب روکش ایمپلنت چیست؟
مادهای تخصصی برای اتصال روکش به اباتمنت (پایه) ایمپلنت که ثبات و زیبایی روکش را تامین میکند.
چسب موقت چه کاربردی دارد؟
برای اتصال کوتاهمدت روکش تا زمان بررسی وضعیت لثه و اطمینان قبل از اتصال دائمی.
چرا روکش ایمپلنت میافتد؟
دلایل شایع شامل ضعیف شدن چسب، شل شدن پیچ، ضربه یا مشکلات لثه و عفونت است.
آیا باقی ماندن چسب خطرناک است؟
بله؛ چسب باقیمانده میتواند موجب التهاب لثه، تجمع پلاک و در بلندمدت تحلیل بافت اطراف ایمپلنت شود.
آیا میتوان در خانه چسب زد؟
خیر؛ استفاده خودسرانه از چسب خطرناک است و تنها باید توسط دندانپزشک انجام شود.
بهترین نوع چسب کدام است؟
انتخاب بستگی به نوع روکش و شرایط لثه دارد؛ معمولاً چسب رزینی یا گلاسآینومر مناسباند.
آیا افتادن روکش اورژانسی است؟
بله؛ افتادن روکش نیازمند مراجعه سریع به دندانپزشک برای جلوگیری از آسیب بیشتر است.


بدون نظر