

لیست خدمات کلینیک تخصص دکتر هاشم احمدی زاده
خدمات حرفه ای ما
کلینیک دندانپزشکی دکتر احمدی زاده، مفتخر به ارائه ی خدمات حرفه ای با بهره گیری از آخرین تکنولوژی ها و استفاده از بهترین مواد و به روز ترین تجهیزات دندانپزشکی مطابق با استانداردهای بین المللی می باشد.
در کلینیک دندانپزشکی دکتر احمدی زاده، تیم متخصص و متعهدی از دندانپزشکان و کادر پزشکی فعالیت می کنند که با اخلاق حرفه ای و دقت بالا به رفع مشکلات دندانی بیماران محترم می پردازند. خدمات ارائه شده در این کلینیک شامل: ایمپلنت دیجیتال و انواع درمانهای دندانپزشکی ترمیمی، جراحی و ارتودنسی و همپنین ارائه خدمات بهداشتی دهان و دندان می باشد.
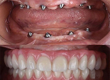
- ایمپلنت دیجیتال
- لمینیت
- جرم گیری و فلوراید تراپی
- جراحی دندان نهفته
- کامپوزیت
- کشیدن دندان
- اوردنچر
- بلیچینگ
- ارتودنسی
10% تخفیف
تخفیف ویژه کاشت ایمپلنت برای کل اعضای خانواده.
